Our dental practice in Midlothian offers range of services, including Dental Implant

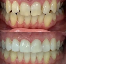
Composite bonding is a cosmetic dental treatment that uses tooth-coloured resin to reshape, repair, and enhance the appearance of teeth. It’s an ideal option for improving the shape, size, and colour of your teeth without too much drilling or damaging the natural tooth structure.
Composite bonding is minimally invasive and pain-free. In most instances treatment can be completed in one visit.
Compared to Orthodontic treatment, Invisalign and Veneers, Composite bonding is much more affordable. Plus we offer Finance plans that will help you spread the cost to suit your needs.
Repair chip and cracks
Close small gaps
Improve the shape and size of teeth
Mask discolouration
Creat a more symmetrical smile
With proper care and maintainence, composite bonding can last for over 5 years. Also, composite bonding can be easily polished when stained or repaired when chipped.
1.Intiail consultatioin to assess suitability
2.Diagnostics and smile design
3.Application of Composites and polishing